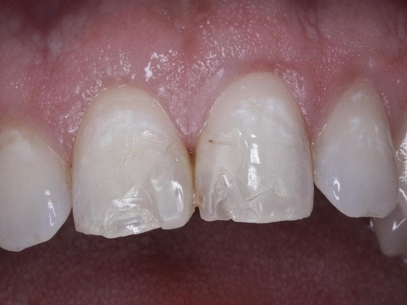
#feszültség#fogcsikorgatás#idegesség#stresszNem álom, ez fogcsikorgatás@shortwave•2011. szept. 7.•1 perc olvasás