
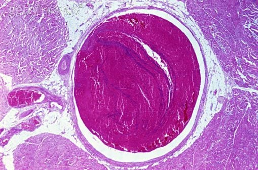
Normális esetben az érpályán belül áramló vér folyékony halmazállapotú. Kóros körülmények közt a vér az érpályán belül, rendszerint valamelyik vénában megalvadhat. Az érpályán belüli véralvadás esetén a keringő vérben vérrög alakul ki. A vérrög elzárja a vérkeringést. Érelzáródás esetén az adott ér által ellátott területek vérellátása károsodik. A vérkeringési akadály miatt az adott terület szövetei nem kapnak elegendő vért és oxigént. Az oxigénhiány szövetkárosodáshoz, szövetelhaláshoz vezet.Ha az érpálya valamelyik szakaszán kialakult vérrög a vérkeringés során elvándorol a keletkezés helyéről, a vérárammal tovasodródik, majd valahol egy szűkebb érszakaszán megakad és elzárja a vér útját, embólia jön létre. Az embólia súlyos, halálos kimenetelű szövődményeket okozhat.Agyi vénás trombózis esetén valamelyik agyi vénában kóros véralvadás és vérrögképződés jön létre. A vérrög elzárja az agyi vénát.A vérrögösödés az agyhártyák közt található vénás tágulatokban, tág agyi vénás öblökben a leggyakoribb.Agytrombózis esetén a keringés akadályozott, a koponyán belüli nyomás növekszik. A nyomásfokozódás fejfájást, tudatzavart, idegrendszeri zavarokat, perifériás bénulásokat, eszméletvesztést okoz. Az agy szövetállománya károsodik, az agyvérzéses tünetekhez hasonló maradandó károsodások lépnek fel. Súlyos esetben az agytrombózis halálos kimenetelű.A vérzés-alvadás egyensúlyának felbomlása esetén az érpályán belüli véralvadás veszélye növekszik.A nagymérvű sérülések, a nagyobb műtéti beavatkozások megbonthatják a kényes egyensúlyt, a véralvadási készség fokozódhat.A fogamzásgátló tabletta és a terhesség szintén fokozza a vér alvadékonyságát.A fej területén kialakuló gyulladásos folyamatok, melléküreg-gyulladások esetén agyi vénás trombózis alakulhat ki. Az agyi vénás gyulladás szintén agyi vérrögösödést okozhat.Az érelzáródást okozó vérrögöt hat órán belül fel kell oldani. A vérrög intravénásan adott, enzimhatású gyógyszerrel oldható.Ha a vérrög feloldására nincs lehetőség, az ép agyi területek vérellátását értágító infúziós kezeléssel javítják.Bizonyos esetekben a vérrög műtéti eltávolítása válik szükségessé.Görcsroham, bénulás, zavartság, eszméletvesztés esetén azonnal hívjunk mentőt.Az agyi vérkeringés fokozatosan romlik.A betegség kezdetén fejfájás, szédülés, hányinger jelentkezik. Az agykárosodás miatt perifériás, az egyes izomcsoportokra illetve a teljes testre kiterjedő izomgörcsök alakulnak ki. A beteg tudatállapota egyre jobban beszűkül, zavarttá válik, majd eszméletét veszíti. Az eszméletlen beteg a külső ingerekre nem reagál.Az agytrombózis következtében egyes perifériás izomcsoportoknak maradandó bénulása alakulhat ki.Kezeletlen agyi trombózis esetén halálos kimenetelű agynyomás-fokozódás léphet fel.
Kapcsolódó fórumok:
- agyi ér elpattanása
- poloska fajtak
- kutya infarktus
- trombózis ujjban
- https://lifepress hu/forums/agyi ödéma felszívódása
- agyi lerakódás
- agyi trombózis
- agyi ödéma felszívódási ideje
- trombózis adókedvezmény
- adókedvezmény trombòzis
Hozzászólások (0)
Jelentkezz be, hogy hozzászólhass!
BejelentkezésMég nincs hozzászólás.
Legyél az első, aki hozzászól!
