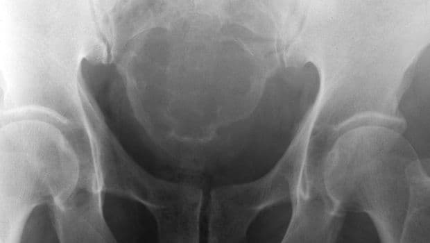
#Csont#daganat#jóindulatú#kóros szövetburjánzásCsontdaganatok@brekkszii•2011. szept. 25.•1 perc olvasás